电子报阅读机
2026-03-28
星期六
当前报纸名称:泉州晚报

罕见“镜面人”长肿瘤 医生反向精准“拆弹”

日期:11-24
字号:
版面:第05版:都市·民生       上一篇    下一篇

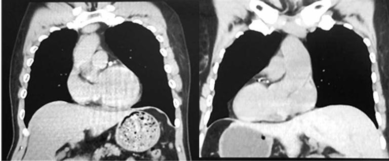
正常人(左)与“镜面人”CT影像对比

本报讯 (记者苏凯芳 丁荣汉 庄鹏佳 通讯员万馨璟 黄书荣 文/图)你听说过“镜面人”吗?简单来说,就是身体里的五脏六腑全长反了。来自南平的64岁叶阿姨就是这样一个特殊的存在,这种情况的发生率在临床上仅有百万分之一。近日,泉州市第一医院城东院区胃肠外科医师团队打破惯性思维,成功为叶阿姨实施“腹腔镜下超低位直肠癌根治术”。

9月份以来,叶阿姨常发现自己大便带血,于是便前往医院检查,不想不查不知道,一查吓一跳。“什么?我器官长反了?”入院检查后,叶阿姨得知自己身体器官异于常人非常吃惊,她坦言,自己平时身体并无任何异常。

泉州市第一医院城东院区胃肠外科主任陈锦萍说:“正常来说,人的心脏在左侧,肝脏在右侧。但该患者从腹部到胸部,所有的脏器全部长反了,也就是所谓的‘镜面人’,即心脏、肝脏、脾脏、胆等器官的位置与正常人相反。在临床中,这种情况的发生率仅百万分之一。”

然而,相比异于常人的身体,得知自己被诊断为低位直肠癌且需立即手术时,叶阿姨犹如晴天霹雳。好在她很快调整好状态,积极配合治疗。

如何给“镜面人”做手术?手术时,医生该如何站位?陈锦萍解释道,直肠癌手术本身是一个常规手术,但是“镜面人”让这例手术发生空间上的难度。镜面的解剖结构和变异会颠覆医生原有的解剖学认知,要求医生对解剖结构非常熟悉,同时要具有极高的空间想象能力,这也意味着要把以往熟悉的手术习惯及操作思路进行反向操作。“正常情况下,主刀医生会站在患者右边,而这次要站在左边,这对手术医生的专业素养和心理素质是个极大的考验。”

为进一步降低手术风险,专家共同制订了详细的手术方案及术中应急预案,并反复推演,排除各种隐患。10月初,叶阿姨顺利进行手术,术后7天便出院了。

陈医生说,“镜面人”虽然是全内脏反位器官,但功能往往正常,平时无任何症状,多半是在无意中或体检时发现,大多认为与染色体结构的畸变有关。同时,他也提醒道,市民应定期做好相关体检,以免发生误诊、漏诊而延误治疗。平时对自己的身体状况要有基本认知,如有像“镜面人”这样特殊的生理结构,要明确告知身边人,去医院就诊时要及时告知医生。